Just a quick 3-minute drive from the border, you'll find us conveniently located and ready to welcome you!!

Are You Thinking on Obtaining Dental Implants in Mexicali Baja California, Mexico? Check This Complete Step By Step Guide.
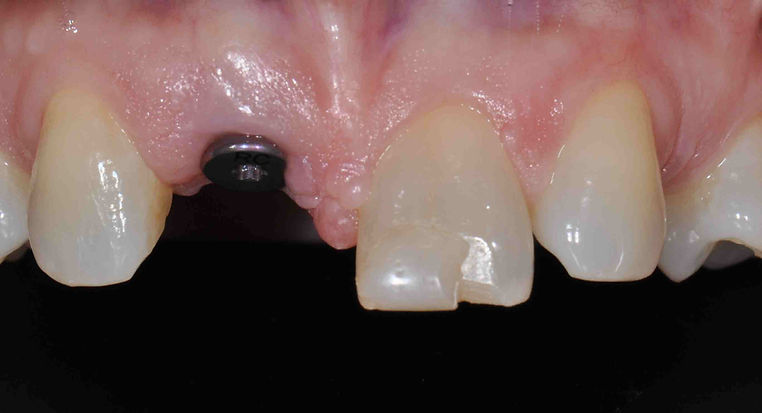
What Exactly is a Dental Implant?
The implant procedure has never been easier. A dental implant is a small, metallic screw which is drilled into the jaw bone to serve as a replacement for a natural tooth root. The screws are typically made of titanium or titanium alloys and are a durable, long-term treatment option when it comes to tooth replacement. Once the dental implant successfully fuses to the bone through a process called osseointegration, a prosthesis such as a crown or a denture is attached to the site and can then be maintained and used as a normal tooth.

Dental Implants in the U.S. are expensive with an average price of $4000-$6000 according Dental Implant Cost Guide.
Lower wages and living costs in Mexico means prices for Dental Implants abroad are usually between 50-75% cheaper than in the U.S.
In Dentalite & with Dr Ballesteros have extremely high standards of both doctors and facilities, combined with low prices, makes us an easy choice when you are seeking Dental Implants Abroad, if you are from Imperial Valley County, Palm Spring or Indio and looking for Low-Cost, high-quality implants, Mexicali is your choice.
⦁ Single Tooth Implant: $700- $1,100
⦁ Implant Abutment: $100 - $300
⦁ Implant Crown: $400 - $550
⦁ Ct Scan: $75 - 150 (depends if is a Quadrant, Arch or Full Mouth)
⦁ Bone Grafting: $200 - $2000 (highly depending on the procedure needed)
⦁ Gum Grafting: $350 - $500
⦁ Sinus Lift: $850
First Visit for Implants
The first visit we will give you a full personalized examination; This Initial Consultation is first necessary to make an accurate assessment of your needs.
If you are considering Dental Implant treatment, Dr. Maryol Ballesteros will do a careful examination, will take x-rays, check for gum disease and assess the strength of your jawbone in the areas where your teeth are missing. Sometimes when there is not as much bone you might need a bone graft.
The results of this examination will determine if you are suitability for Implants.
If your circumstances make you unfit for Dental Implants, our dentists will propose the best possible alternative treatment options available for you to choose from with the exact cost, number of visits and the time scale which may depend upon any required healing time.
Implant Surgery & Post-Surgery
In most cases, the placement of dental implants causes only minor discomfort; many patients are surprised at how little pain they experience during treatment. We offer advanced conscious sedation options for patients receiving implant dentistry treatment at our clinic near Palm Springs and Calexico. A Consultation and Implant surgery require a 2 to 6 day stay depending on other treatments needed.
According to the results of consultation and examination of the jawbone, Implant treatment is arranged in the following steps:
⦁ Insertion of the Implant
⦁ Healing of the gum
⦁ Exposure of the Implant/s
⦁ Impression taking
⦁ Fitting of Crown and Bridge or Over-Denture
If there are no complicated circumstances, Dr. Maryol Ballesteros rarely takes more than 40 minutes to place an Implant with surgery usually carried out under local anaesthetic.
Following the procedure you will be provided with a post-surgery instructions sheet and a prescription for your medications (antibiotic, antiiflamatory, painkill pills and mouthwash) for oral hygiene to help you avoid any infections.
Soreness from the operation rarely lasts much longer than 2-4 days with most swelling and discomfort gone when the stiches are removed 14-20 days later, depending on the surgery we can also use absorbable stitches for more comfort.
Fitting of Crown, Bridge or Over-Denture
After placing the implant, a healing period is necessary (usually from 3 to 6 months). Please note that temporary teeth are fitted (depending the case) before you leave our office for the 3 to 6 month healing period only. During this time the bone grows around and bonds to the roughened surface of the Implant screw (Osseointegration) firmly fixing the Implant in the jawbone.
At the end of the healing period a return visit of between 5 and 10 days is required for the fitting of the permanent teeth (Crown, Bridge or Over-Denture). Many patients break the second stage into two visits, spread over two weeks.

A healing cap is placed to prepare your gum for your new dental implant.